- Antonie Heinsiusstraat 60 2582 VVÂ Den Haag Nederland
- info@aspadirect.com
- +31 065 11 37 656
- BOEK NU
Steelwratjes verwijderen bij ASPA, Den Haag
Skin tags of andere huidoneffenheden kunnen op het hele lichaam voorkomen. Ze zijn vaak onschuldig, maar kunnen toch storend zijn. Deze oneffenheden kunnen ontstaan door bijvoorbeeld ouderdom, aanleg of wrijving van de huid. Gelukkig zijn ze eenvoudig te verwijderen door de huidtherapeut met de SpotAway-plus behandeling.
De SpotAway-plus is een draadloos apparaat waarbij er met hoogfrequente wisselstroom wordt gewerkt. Op de SpotAway-plus wordt een steriel naaldje geplaatst. De stroom gaat door deze naald en veroorzaakt een ionenboog. Dit resulteert in kleine vonkjes die het weefsel wegbranden.
TE VERWACHTEN RESULTAAT?
Afhankelijk van de hoeveelheid en de grootte van de oppervlakte van het behandelgebied, kunnen deze huidonregelmatigheden meestal in slechts 1 behandeling verwijderd worden. Sommige huidonregelmatigheden hebben de neiging om na enige tijd weer terug te komen. Een herhaalbehandeling is dan mogelijk.
Voor de behandeling
Soms kan het nodig zijn om voor de verschillende behandelindicaties gebruik te maken van verschillende (aanvullende) therapieën zoals lasertherapie of curettage. De huidtherapeut neemt dit vooraf altijd met u door en zal u uitleggen wat de verschillen tussen de behandelingen inhouden. Bij een donker huidtype is het soms noodzakelijk om eerst een proefplekje te behandelen in verband met de kans op pigmentverschuivingen na de behandeling.
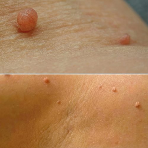
Skin tags worden ook wel fibromen of steelwratten genoemd. Ze ontstaan vooral bij mensen met insulineresistentie, al dan niet in combinatie met overgewicht. Ze komen voor in de hals, op de oogleden, onder de oksels, in de haren of in de schaamstreek. Het zijn huidcellen die een soort uitstulping vormen zoals te zien op de foto.
Bij de start van de behandeling wordt uw huid gedesinfecteerd. De huidtherapeut zal het behandelgebied aftekenen. Vervolgens zal de naald tegen de huid aan worden gehouden. U voelt een warme prik op de huid. Dit kan als gevoelig worden ervaren maar de behandeling is van korte duur. De huidtherapeut brengt een verzorgende zalf aan en (bij zonblootstelling) zonbescherming.
Na de behandeling
Na de behandeling ontstaat er vaak direct een klein korstje op de behandelde plek. Verder is de huid wat rood en mogelijk licht gezwollen. Onder het korstje wordt nieuwe huid aangemaakt. Na ongeveer een week valt het korstje er vanzelf af. Het is belangrijk dat de behandelde plekjes met rust worden gelaten. Krab de korstjes er niet vanaf, dit kan zorgen voor littekenvorming. U krijgt van de huidtherapeut een formulier mee waarin alle nazorg beschreven staat.
Overmatig gebruik van koolhydraten, teveel omega-6 vetten (met name linolzuur) en een tekort aan omega-3 vetten en vitamine D3 is, samen met een gebrek aan beweging, de hoofdoorzaak. Vooral geraffineerde voeding, zoetmiddelen zoals glucose-fructosesiroop, frisdranken, melkproducten, tarweproducten en eenzijdige voeding met een gebrek aan nutriënten zoals mineralen (selenium, zink, chromium, …) dragen bij aan dit probleem. Kant-en-klaar maaltijden, voeding uit pakjes en zakjes met allerlei E-stoffen en smaakversterkers vormen bijna een garantie tot insulineresistentie.
In combinatie met veel intensieve beweging en verstandig eten kan insulineresistentie worden bestreden. Het is zeer belangrijk dit te doen omdat er veel meer minder onschuldige maar soms onzichtbare problemen kunnen ontstaan zoals PCOS of uiteindelijk zelfs diabetes. Als de donkere huid verdwenen is, samen met de skin tags, is het probleem zeer waarschijnlijk opgelost. De skin tags verwijderen is slechts een esthetische handeling maar zinloos in de aanpak van het echte probleem.
Wat heeft voeding te maken met steelwratjes?
Overmatig gebruik van koolhydraten, teveel omega-6 vetten (met name linolzuur) en een tekort aan omega-3 vetten en vitamine D3 is, samen met een gebrek aan beweging, de hoofdoorzaak. Vooral geraffineerde voeding, zoetmiddelen zoals glucose-fructosesiroop, frisdranken, melkproducten, tarweproducten en eenzijdige voeding met een gebrek aan nutriënten zoals mineralen (selenium, zink, chromium, …) dragen bij aan dit probleem. Kant-en-klaar maaltijden, voeding uit pakjes en zakjes met allerlei E-stoffen en smaakversterkers vormen bijna een garantie tot insulineresistentie.
In combinatie met veel intensieve beweging en verstandig eten kan insulineresistentie worden bestreden. Het is zeer belangrijk dit te doen omdat er veel meer minder onschuldige maar soms onzichtbare problemen kunnen ontstaan zoals PCOS of uiteindelijk zelfs diabetes. Als de donkere huid verdwenen is, samen met de skin tags, is het probleem zeer waarschijnlijk opgelost. De skin tags verwijderen is slechts een esthetische handeling maar zinloos in de aanpak van het echte probleem.



Niet-chirurgische vlekverwijdering is een procedure die de verwijdering of het volgende omvat:
Skin tags (fibromen, steelwratjes)
Spider naevi
Lentigo (ouderdomsvlekken)
Verrucae seborrhoica (ouderdomswratten)
Verrucae planae (platte wratten)
Epidermale naevi
Angioma senilis (bloedblaasjes)
Milia